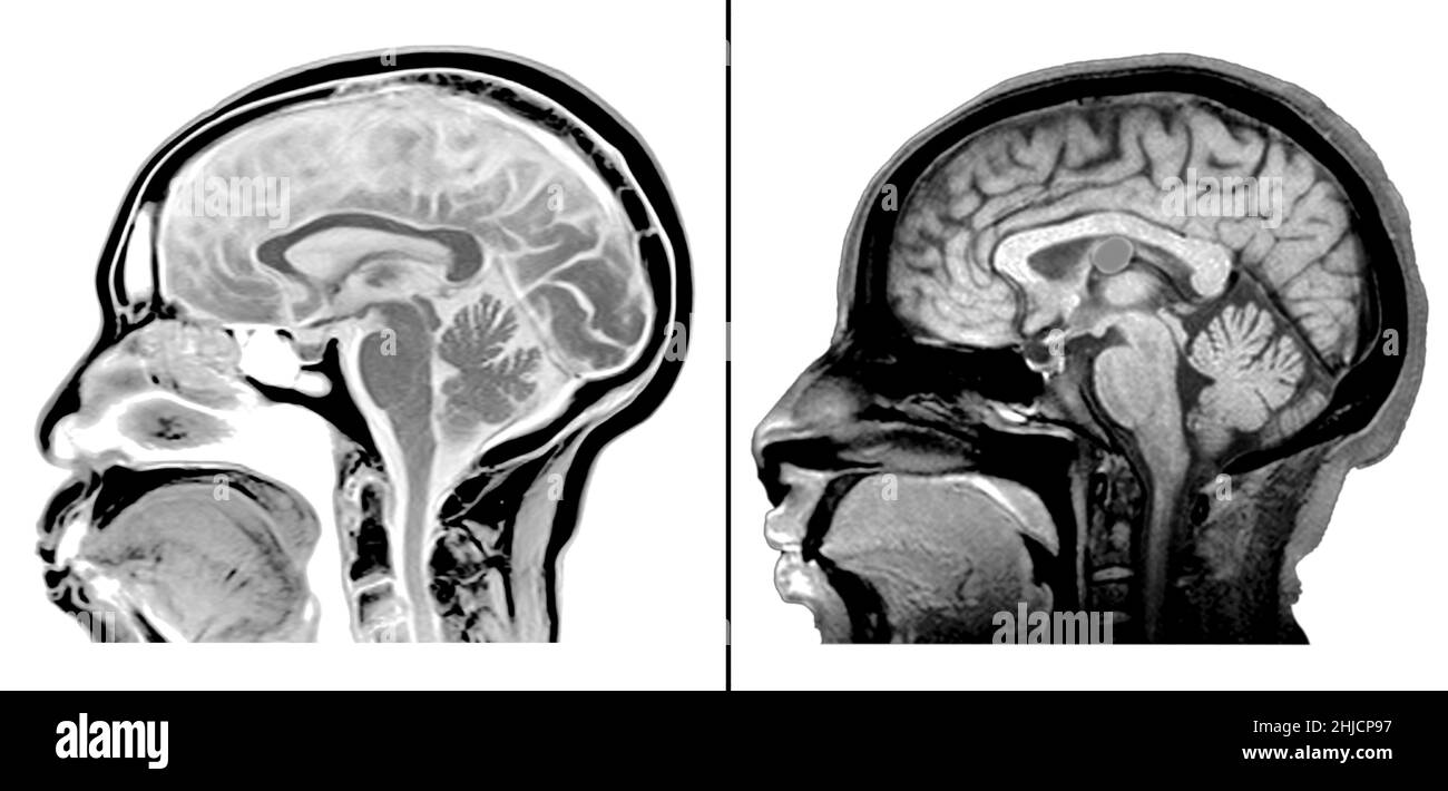
Als Kolloidzyste wird eine gutartige zystische Struktur bezeichnet, die typischerweise im Bereich des dritten Hirnventrikels auftritt. Kolloidzysten können das Foramen Monroi verlegen, was zu einem Liquoraufstau mit Hydrozephalus führt. Symptomatische Kolloidzysten werden neurochirurgisch häufig minimalinvasiv neuroendoskopisch entfernt. Bei asymptomatischen (beschwerdefreien) Kolloidzysten, bei denen es sich nicht selten um Zufallsbefunde handelt, kann die Operationsindikation erwogen werden, wenn die Größe geeignet erscheint, das Foramen Monroi zu verlegen. Plötzliche Todesfälle in Zusammenhang mit vorher asymptomatischen Kolloidzysten sind in Einzelfällen beschrieben worden.
Literatur
- Dag Moskopp, Hansdetlef Wassmann (Hrsg.): Neurochirurgie: Handbuch für die Weiterbildung und interdisziplinäres Nachschlagewerk. Schattauer, Stuttgart/New York 2005, ISBN 3-7945-1991-4, S. 255 (Volltext bei Google Books).
Weblinks
- Patienteninformationen und Fallbeispiele der Klinik für Neurochirurgie, Greifswald
Einzelnachweise




